Skip to main content
メニュー
Revvity logo
Contact us
JP
Revvity Sites Globally

Select your location.

*e-commerce not available for this region.

australia.webp Australia
austria.webp Austria
belgium.webp Belgium
brazil.webp Brazil *
canada.webp Canada
china.webp China *
denmark.webp Denmark
finland.webp Finland
france.webp France
germany.webp Germany
hong-kong.webp Hong Kong (China) *
india.webp India *
ireland.webp Ireland
italy.webp Italy
japan.webp Japan *
luxembourg.webp Luxembourg
mexico.webp Mexico *
netherlands.webp Netherlands
norway.webp Norway
philippines.webp Philippines *
republic of korea.webp Republic of Korea *
singapore.webp Singapore *
spain.webp Spain
sweden.webp Sweden
switzerland.webp Switzerland
thailand.webp Thailand *
uk.webp United Kingdom
usa.webp United States
Breadcrumb
...
  • ホーム
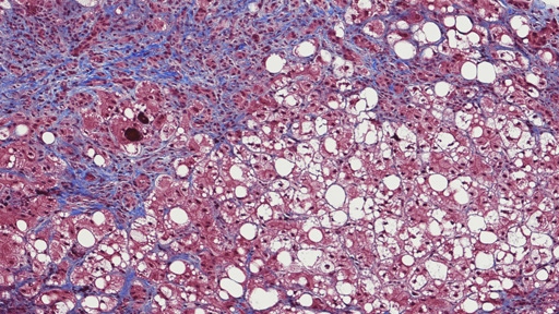
  • Developing a phenotypic in vitro model for progression of liver steatosis
Literature - Publication Review

Developing a phenotypic in vitro model for progression of liver steatosis

developing-phenotypic512

Currently, there are no FDA-approved medicines to treat nonalcoholic fatty liver disease (NAFLD) or nonalcoholic steatohepatitis (NASH), and the complex molecular and genetic mechanisms are not completely understood. To address this, Siobhan Malany, from the Conrad Prebys Center for Chemical Genomics in Florida, US, and colleagues developed a model of hepatic steatosis in functional human induced pluripotent stem cell-derived hepatocytes (hiPSC-Hep). This article discusses some of the study’s main approaches, findings, and potential applications for drug discovery research.

For research use only. Not for use in diagnostic procedures.

To view the full content please answer a few questions

By submitting my personal data, I acknowledge that Revvity Inc. and its affiliates (“Company”) will process my personal data provided above consistent with the Company’s Privacy Policy available here.

CAPTCHA
This question is for testing whether or not you are a human visitor and to prevent automated spam submissions.

Download Resource

Developing a phenotypic in vitro model for progression of liver steatosis

Download Literature - Publication Review
Revvity Logo

©2026 Revvity - All rights reserved

Revvity is a trademark of Revvity, Inc. All other trademarks are the property of their respective owners.