Skip to main content
メニュー
Revvity logo
Contact us
JP
Revvity Sites Globally

Select your location.

*e-commerce not available for this region.

australia.webp Australia
austria.webp Austria
belgium.webp Belgium
brazil.webp Brazil *
canada.webp Canada
china.webp China *
denmark.webp Denmark
finland.webp Finland
france.webp France
germany.webp Germany
hong-kong.webp Hong Kong (China) *
india.webp India *
ireland.webp Ireland
italy.webp Italy
japan.webp Japan *
luxembourg.webp Luxembourg
mexico.webp Mexico *
netherlands.webp Netherlands
norway.webp Norway
philippines.webp Philippines *
republic of korea.webp Republic of Korea *
singapore.webp Singapore *
spain.webp Spain
sweden.webp Sweden
switzerland.webp Switzerland
thailand.webp Thailand *
uk.webp United Kingdom
usa.webp United States
Breadcrumb
...
  • ホーム
  • Blog
  • NGS
  • Ribosome profiling with the NEXTFLEX Small RNA-seq kit: A streamlined workflow for translational research in Oncology.
Ribosomal hero blog

Blog

NGS NGS Library Prep

Mar 9th 2026

6 min read

Ribosome profiling with the NEXTFLEX Small RNA-seq kit: A streamlined workflow for translational research in Oncology.

Help us improve your Revvity blog experience!

Feedback

Developed in collaboration with Joseph Waldron1, Martin Bushell1 and June Munro1 in support of CRUK core funding to Martin Bushell lab (A29252)1 Cancer Research UK Scotland Institute

Translational regulation has emerged as a key determinant of cancer cell behavior, influencing proliferation, stress responses, and therapeutic resistance. While transcriptomics provides a snapshot of mRNA abundance, the functional output of gene expression ultimately depends on how efficiently transcripts are translated into proteins. Ribosome profiling (Ribo-seq) directly measures this translational activity by sequencing ribosome-protected fragments (RPFs), providing codon-level resolution of active translation across the transcriptome.

In oncology, Ribo-seq has revealed pervasive translational reprogramming in tumors, including activation of upstream open reading frames, translation of long noncoding RNAs, and altered ribosome occupancy on stress-response genes. These findings have illuminated mechanisms of oncogene activation, immune evasion, and drug resistance, establishing Ribo-seq as an indispensable method for functional genomics and biomarker discovery.

Because RPFs are typically 26–34 nt long, their size and composition closely resemble those of microRNAs. This makes small RNA sequencing workflows a suitable foundation for Ribo-seq library construction. The NEXTFLEX™ Small RNA-seq kit employs an optimized, bias-reduced ligation system and a gel-free cleanup workflow that effectively captures short RNA fragments with high complexity and minimal adapter-dimer formation. Originally developed for microRNA and tRNA-fragment sequencing, this chemistry also improves recovery and uniformity of RPFs, even from low-input or partially degraded material.

In a recent study by Raven et al1 where this kit was used, Ribo-seq was central to examine how Wnt–β-catenin activation and MYC overexpression remodel translation in mouse hepatocytes during early stages of tumorigenesis. The method allowed the authors to quantify RPFs to measure translation efficiency and translatome changes across genotypes and time points.

Biological questions addressed with Ribo-seq

The authors observed that combined Ctnnb1 exon 3 mutation (β-catenin activation) + MYC overexpression causes a transient proliferative burst in zone-1/zone-2 hepatocytes at Day 4, followed by a collapse of proliferation and strong zone-3 differentiation by Day 10. They hypothesized that this proliferative burst is caused by a pro-growth translational program, and that this translatome becomes suppressed when hepatocytes differentiate toward a zone-3 identity.

Ribo-seq was therefore used to compare translation efficiency at day 4 and day 10 in different genotypes, to identify mRNAs translationally upregulated during the early oncogenic growth phase, and to determine whether the pro-growth translational program is lost when zone-3 differentiation dominates. All Ribo-seq samples were derived from mouse liver tissue, harvested from genetically engineered models after intravenous delivery of AAV8.TBG.Cre to activate mutant alleles. Four genotypes were profiled, each of them in triplicate:

  • Control (WT)
  • Ctnnb1ex3/WT (Bcat) – stabilized β-catenin
  • R26LSL-MYC (Myc) – MYC overexpression
  • Ctnnb1ex3/WT;R26LSL-MYC (BM)– dual WNT/MYC activation
RPF isolation and conversion for library preparation

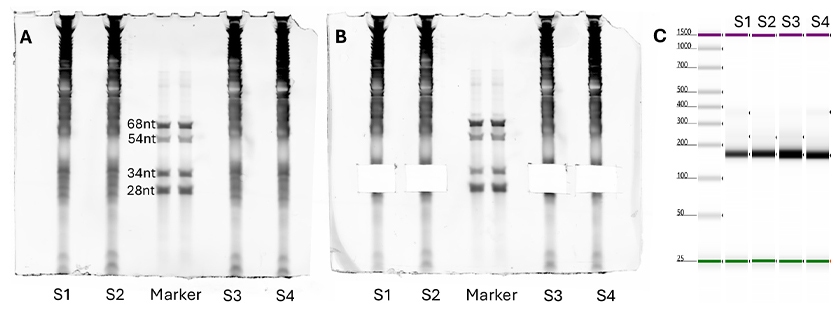
The procedure used to isolate RPFs is described in detail in the methods section of Raven et al1. For each sample approximately 200 mg of tissue was lysed, clarified by centrifugation, and digested with RNAse I and MNase. Digested lysates were layered on 10–50% sucrose gradients and ultracentrifuged. The 80S monosome fraction was collected, and RNA extracted with phenol chloroform. RPFs between 28–34 nt size were excised from a 15 % TBE-urea gel (Figure 1A and 1B), eluted overnight, filtered, and reprecipitated.
 

Ribosomal blog fig-1


Figure 1. A. Isolated RPFs from 4 different samples (S1 to S4) were run on 15 % TBE-urea gels together with 28 and 34 nt RNA markers. The 54 and 68 nt markers can be used for sequencing ~60nt footprints of collided ribosomes, but this wasn’t done for these samples. B. Cut regions used for downstream sequencing are shown. C. Final libraries were run on TapeStation, giving a peak ~170-180nt. These images correspond to only 4 of the samples included in Raven et al (2025).

Size-selected RNA was then subjected to rRNA depletion, followed by RPF 5′ phosphorylation and 3′ dephosphorylation using T4 PNK. 5 ng of purified RNA were used as input for the NEXTFLEX Small RNA-seq kit, following the standard protocol and 14 PCR cycles. After PCR libraries were gel-purified. Final libraries show a peak ~170-180nt (Figure 1C), which corresponds to RPF lengths of the expected size 30-38nt (Figure 2A). Sequencing was performed on an Illumina® NextSeq™ 500 instrument with a single-end 75-cycle high-output kit, with sequencing depths on the order of tens of millions of reads per sample (Figure 2B).

In the following paragraphs, we describe the quality checks that were performed by the authors to ensure that the data obtained from ribosome profiling was reliable. These checks are commonly used in nearly all Ribo-seq studies.

Determination of reads aligning to coding sequences (CDS)

Translation elongation involves the 80S ribosome translocating the entire length of the CDS one codon at a time. Cycloheximide is used in Ribo-seq to trap these elongating ribosomes on the mRNA and as such RPFs should show strong enrichment within the CDS compared to the Untranslated Regions (UTRs) of mRNAs.

Because of this, evaluation of % reads mapping to CDS vs UTRs is often used in Ribo-seq QC pipelines, where high-quality libraries typically show 70-90% RPFs in CDS, low 5’ UTR signal, and near-zero 3’UTR signal.
 

Ribosomal blog fig-2


Figure 2. A. The read length with a peak of the expected ~33 nt. B. Read counts for all the samples studied. All counts are the total starting counts.

Reads were aligned with BBmap (v38.18). This showed that the majority of reads aligned to protein coding genes as expected and within these transcripts more than 90% of the RPFs aligned to the CDS, demonstrating high quality libraries (Figure 3).
 

Ribosomal blog fig-3


Figure 3. A. RNA type distribution after alignment, which have undergone rRNA depletion as per the protocol in the paper. Reads aligning to protein coding sequences (pc) constituted 60-75% of total reads obtained. B. Reads mapping to pc, predominantly align to the CDS.

Codon periodicity analysis

Codon periodicity analysis is a key quality-control step in Ribo-seq because actively elongating ribosomes advance in 3-nt steps (codons), producing footprints whose peptidyl sites (P-sites) align predominantly in one reading frame across the CDS. This strong in-frame 3-nt periodicity confirms that reads originate from genuine translating ribosomes rather than background RNA or nonspecific nuclease fragments derived from non-ribosome associated nuclease protection. Due to the distribution in read lengths, the exact frame that is enriched can differ for each length. This is shown in Figure 4, where reads are predominantly in frame 0 for read lengths 30-31 and frame 2 for read lengths 32 or more. The authors determined the codon within the P-site of each RPF by applying length-specific P-site offsets (12–14 nt, depending on read length) to RPFs of 30–38 nt.
 

Ribosomal blog fig-4


Figure 4. Most of the reads for each length are in a certain frame (f0, f1 or f2), which is what should be expected for a ribosome that is elongating one codon at a time.

Finally, a metagene plot was generated, a visualization in which the sequencing signal from many different genes is aligned to a common reference point (usually the start codon or stop codon) and then averaged across all genes (Figure 5). Because ribosomes typically initiate at an AUG, aligning all transcripts on these positions allows the characteristic behaviors of translation to become visible. This demonstrates the enrichment of RPFs within the CDS and the strong 3nt periodicity within the data.
 

Ribosomal blog fig-5


Figure 5. Periodicity within the CDS, relative to the start codon. This plot demonstrates the expected 3-nt periodicity of active translation. CPM refers to Counts Per Million, which is defined as (number of P-site assigned reads at a given codon position/total aligned RPF reads) x 1,000,000. This metric is used to normalize for differences in sequencing depth.

Biological findings from Ribo-seq

The Ribo-seq data show that β-catenin and MYC cooperate to induce a powerful, but transient, pro-growth translational program in hepatocytes.

At day 4, BM livers display strong translational upregulation of genes involved in cell-cycle progression, mTOR signaling, and MYC/E2F target pathways, revealing that the early proliferative phase is driven not only by transcriptional activation but also by enhanced translation efficiency of growth-promoting mRNAs.
 

By day 10, this pro-growth translational landscape collapses: global translation is reduced, polysome abundance drops, and translation of the same MYC/mTOR-responsive transcripts becomes strongly downregulated. This shift coincides with the widespread adoption of a zone-3 hepatocyte identity, including uniform GLUL expression, demonstrating that differentiation toward a pericentral phenotype is accompanied by suppression of translational programs required for proliferation.

Together, the Ribo-seq findings indicate that successful WNT-driven tumorigenesis depends on maintaining a hepatocyte state that supports high translational activity; once hepatocytes differentiate into a zone-3-like state, their translational capacity drops and oncogenic proliferation cannot be sustained.
 

Discover more

References:
  1. Raven, A., et al. (2025). Hepatic zonation determines tumorigenic potential of mutant β-catenin. Nature. doi: 10.1038/s41586-025-09733-1.

For research use only. Not for use in diagnostic procedures.

Help us improve your Revvity blog experience!

Feedback

Share this post:

  • Email
  • Facebook
  • Linkedin
  • Twitter

続き NGS posts

active ribosome thumbnail
Active ribosome profiling versus classical Ribo-seq: choosing the right assay for the right biological question.
Read
small rna blocker thumbnail
How rRNA contamination affects small RNA sequencing results.
Read
design a drug blog thumbnail
How to design a DRUG-seq screen for interpretable biology.
Read
line

ご質問がございましたら、
お気軽にお問い合わせください。

お問合せ
Revvity Logo

©2026 Revvity - All rights reserved

Revvity is a trademark of Revvity, Inc. All other trademarks are the property of their respective owners.